Bà bầu bị viêm chân răng, viêm nướu là chứng bệnh rất thường gặp bởi trong giai đoạn mang thai, người phụ nữ có những thay đổi về nội tiết tố trong cơ thể. Tuy nhiên, do tâm lý lo sợ ảnh hưởng đến thai nhi nên hầu hết các phụ nữ đều không đến gặp Bác sĩ để được khám và điều trị sớm. Vậy làm cách nào chữa viêm chân răng ở bà bầu vừa an toàn lại hiệu quả ?
Vì sao chảy máu răng chân răng khi mang thai? Có nguy hiểm không
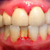
Chảy máu chân răng khi mang thai trong quá trình ăn nhai, chải răng hay tự phát là dấu hiệu ban đầu của bệnh nướu răng. Các bà mẹ cần phải quan tâm, phát hiện và điều trị sớm để tránh những biến chứng nguy hiểm, làm ảnh hưởng đến sức khỏe trong quá trình mang thai. Dưới đây là những nguyên nhân gây ra tình trạng này.

- Trong quá trình mang thai, nội tiết tố progesterone sẽ tăng, làm giảm sức đề kháng và khả năng miễn dịch của bạn. Vì vậy rất dễ mắc phải các bệnh lý răng miệng như chảy máu chân răng, viêm nướu, viêm nha chu.
- Vệ sinh răng miệng không đúng cách, phụ nữ mang thai thường bị ốm nghén, nôn mửa khi ngửi những mùi như kem đánh răng. Yếu tố ảnh hưởng đến trồng răng sứ giá bao nhiêu chủ yếu? Không đánh răng thường xuyên sẽ tạo điều kiện cho vi khuẩn tấn công và gây ra bệnh lý răng miệng
- Thói quen ăn uống khi mang thai sẽ thay đổi rất nhiều, các bà mẹ thường thèm ăn vặt, thức ăn nhiều đường và tinh bột, tạo điều kiện cho vi khuẩn tấn công gây ra tình trạng chảy máu chân răng.
Cách phòng tránh chảy máu chân răng khi mang thai
Chảy máu chân răng khi đang mang thai là một biểu hiện sinh lý. Nó chỉ khiến các bà mẹ khó chịu chứ không có hại đến thai nhi. Nhưng các bà mẹ cần phải chú ý đến sức khỏe răng miệng để đảm bảo cho sự phát triển của trẻ.
- Trong trường hợp các bà mẹ bị chảy máu do không vệ sinh răng miệng đúng cách có thể sẽ dẫn đến các bệnh lý răng miệng như viêm nướu, sâu răng, viêm nha chu. Lúc này, bạn cần đến các cơ sở nha khoa để thăm khám và điều trị, để đảm bảo sức khỏe cho cả mẹ và bé.
- Nên đánh răng ngày 2 lần, súc miệng sau khi ăn để thức ăn không bám trên răng. Dùng chỉ nha khoa sau mỗi bữa ăn để lấy phần thức ăn còn sót lại trên răng, ngăn không cho vi khuẩn làm hại răng miệng.
- Hãy sử dụng bàn chải lông mềm, đánh răng đúng cách, nên đánh nhẹ nhàng theo chiều xoay tròn.
- Các bà mẹ khi mang thai nên khám răng định kỳ và lấy cao răng 6 tháng lần để loại bỏ những mảng bám gây hại cho răng. Quy trình niềng răng tháo lắp bao nhiêu tiền hiện nay?
- Bổ sung cho cơ thể các loại vitamin A, vitamin C có trong các loại rau củ quả để giảm thiểu tình trạng chảy máu chân răng.
- Khi thấy răng có những dấu hiệu đau loại, thường xuyên chảy máu lợi sưng đau, hơi thở có mùi thì bạn cần đến các cơ sở nha khoa để được thăm khám và tư vấn điều trị.
Bài viết trích nguồn tại: https://halien1111.blogspot.com
Thông tin liên hệ:
Trung tâm nha khoa Đăng Lưu
Địa chỉ:
Cơ sở 1: 34 Phan Đăng Lưu, P.6, Q.Bình Thạnh –(+84 8) 6297 7148
Cơ sở 2: 540 Trần Hưng Đạo, P.2, Q.5 –(+84 8) 6682 0346
Hotline: (+84 8) 66820346
Ngavvt